De Noia, A Coruña (1997). Graduada en Periodismo por la Universidad de Santiago de Compostela, me especialicé en nuevas narrativas en el MPXA. Después de trabajar en la edición local de La Voz de Galicia en Santiago, me embarco en esta nueva aventura para escribir sobre nuestro bien más preciado: la salud.
De Noia, A Coruña (1997). Graduada en Periodismo por la Universidad de Santiago de Compostela, me especialicé en nuevas narrativas en el MPXA. Después de trabajar en la edición local de La Voz de Galicia en Santiago, me embarco en esta nueva aventura para escribir sobre nuestro bien más preciado: la salud.
La última encuesta sobre uso de drogas en enseñanzas secundarias desvela que casi uno de cada cinco menores los ha tomado alguna vez en la vida: ¿qué circunstancias les llevan a ello?
La especialista se muestra «escéptica» ante estas terapias y remarca la importancia de controlar los factores de riesgo, que podrían reducir en un 50 % las probabilidades de desarrollar la enfermedad
La experta remarca la importancia de la alimentación a la hora de prevenir enfermedades, ya que «las personas que siguen una dieta mediterránea reducen en un 53 % el riesgo de desarrollar alzhéimer»
Aunque el asesoramiento filosófico carece del estatus de terapia, se basa en la evidencia de la filosofía práctica para fomentar la introspección y la comprensión
Ana Belén recibió el diagnóstico de enfermedad de Huntington en el 2021, con 40 años; a día de hoy, su hermana pequeña ha dejado su trabajo para poder estar con ella
La coordinadora del plan digital familiar de la Asociación Española de Pediatría analiza la medida anunciada por el Gobierno de prohibir las redes sociales a menores de 16 años
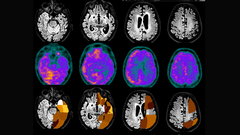
Después de la búsqueda de pacientes que sufren la enfermedad pero que todavía no tienen síntomas, el CHUS y el Chuvi participan en un ensayo clínico en el que se puede acceder a una medicación que todavía no está comercializada en España y que evita que la patología siga avanzando; el viernes se administró por primera vez en Galicia, en uso compasivo
El vicepresidente de la Comisión Interministerial de Precios de los Medicamentos (CIPM) explica qué se tiene en cuenta para aprobar la financiación de un fármaco
Las vidas de Antonio y Raquel dieron un giro de 180 grados desde que toman un modulador de la proteína CFTR que ha reducido el porcentaje de pacientes que requieren un trasplante
El dolor infantil no siempre se aborda de la manera adecuada, con las consecuencias que eso puede tener en su vida: «Tienen el doble de posibilidades de seguir padeciéndolo de adultos»