Dictan prisión domiciliaria para el periodista ruso Golunov
El reportero fue detenido por posesión de drogas, un caso que se considera fabricado en represalia por sus investigaciones sobre corrupcion política
El reportero fue detenido por posesión de drogas, un caso que se considera fabricado en represalia por sus investigaciones sobre corrupcion política
Fue arrollada por un turismo, junto a otra compañera que se encuentra en estado grave. El conductor ha dado negativo en los controles de alcohol y drogas
La policía continúa investigando si hay más personas involucradas en la agresión que se produjo en un autobús
La compañía eléctrica ha tomado esta drástica decisión tras el gran incendio que provocó numerosas víctimas hace unos meses
El denunciado las presionaba para que se desnudasen, les hacía tocamientos no consentidos e incluso intentaba que consumieran drogas y alcohol
La reina y sus hijas estuvieron de compras el pasado jueves en un establecimiento de una popular cadena de ropa
El asalto ocurrió mientras el jugador disputaba un partido de la selección española en las islas Feroe
Ante la pérdida de fieles, hacían pasar por caja para todo a los peregrinos
El preparador del Manchester City participa en un vídeo de una plataforma secesionista junto a otros rostros conocidos como Chomsky o Angela Davis
El presidente de México traslada a su homólogo estadounidense por teléfono su volunad de diálogo
Netflix y HBO defienden la suscripción sin anuncios mientras Hulu perfecciona su sistema de televisión avanzada. YouTube renuncia al modelo de abonados
Estas instalaciones consumen cientos de megavatios de electricidad y es vital que provenga
de fuentes cien por cien renovables. En el 2025 el mundo producirá 180 zettabytes al año
El Consejo Ciudadano aprueba sin un voto en contra el cese de Pablo Echenique
Vox es el único partido que centraliza todos los pactos vía Madrid; el PP da autonomía, pero Génova tiene la bendición final
La emigración a EE.UU. se multiplicó coincidiendo con el grave deterioro de la vida en su país
El «brexit» y las negociaciones presupuestarias imprimen urgencia a las conversaciones
Un grupo de «hackers» logra hacerse con un botín valorado en 56 millones de dólares. Lejos de desplomarse, el valor de la criptomoneda ha mantenido su tendencia al alza y ya rebasa los 7.000 dólares
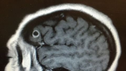
Los médicos hallaron en el cráneo de una mujer una «masa encapsulada que se parecía a un huevo de codorniz»
Los empleados del local llamaron a la policía tras ver que el hombre no aparecía
Álvarez los acusa de «prepotencia» y de «ir en contra de la mayoría»
Una menor de 13 años resultó herida de gravedad con traumatismo craneoencefálico, aunque evoluciona favorablemente
El hombre acudió a una nave abandonada donde arrojó a dos canes a un foso de unos dos metros de profundidad y les tiró piedas hasta que uno murió, dejando al otro gravemente herido
Todos los inmigrantes solicitantes de asilo que crucen la frontera de forma irregular serán devueltos en espera que se resuelva su caso